动画片《大力水手》中的主人公波佩在吃了菠菜之后身体就会变得力大无穷,日常生活中,菠菜因富含各种维生素及营养物质味道鲜美受到很多人的喜爱,可是菠菜并不适合所有人,摄入过量还可能会产生不良后果。
无力犯困、拉肚子
查出严重急性肾损伤
一周前,老陈(化名)隐隐觉得人没啥力气,干活没什么劲还特别容易犯困,同时还闹起了肚子,每天腹泻4~5次,老伴觉得不太正常就拉他去了当地医院,抽血一检查直接吓一大跳,血肌酐430μmol/L,腹部CT提示左肾多发小结节。
家里子女听说后觉得不放心,在网上预约了浙江大学医学院附属邵逸夫医院肾内科主任医师陆明晰次日的专家号。陆明晰详细询问病史后,认为需进一步检查明确病因,当天就为老陈办理了住院手续。
入院后,医生仔细询问了老陈发病前都干了些什么,有没有吃特别的食物或者药物,以前是否做过体检,肾功能怎么样,有无基础疾病等等。老陈回答:“以前身体还好,没啥大毛病,就有点痛风,但是也不吃药,体检没怎么做,发病前好像也没吃什么特别的东西。”
那究竟是什么原因导致老陈的肾损伤如此严重呢?是急性还是慢性的呢?
经过详细检查,老陈血肌酐依然很高432μmol/L(57—97μmol/L),尿酸也偏高600μmol/L(208.3—428.4μmol/L),eGFR 12ml/min(>90ml/min),尿常规未见到尿蛋白和尿隐血,无贫血,尿量没有明显减少,其他免疫、肿瘤相关的血结果均为阴性,B超提示双侧肾脏大小形态基本正常,这说明老陈的肾损伤大概率是急性的。
查出病因
罪魁祸首竟是菠菜
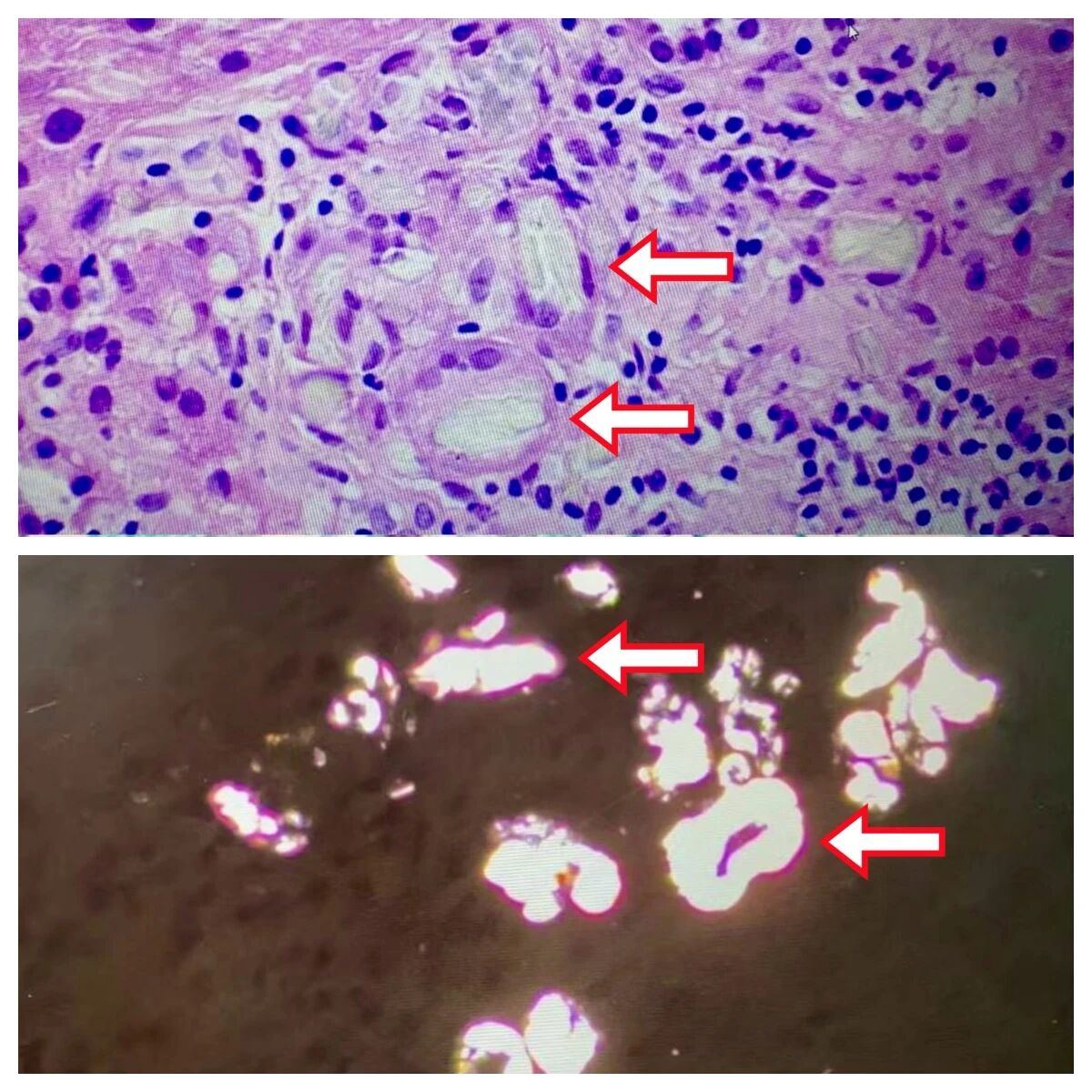
为明确诊断,医生给老陈做了肾活检。果然,病理检查有了重要发现,病理科医师汤雯发现老陈的肾脏病变主要集中在肾小管,可以看见大量亮晶晶的物质沉积,周围还伴有炎症细胞的聚集。凭借丰富的肾脏病理知识,汤雯判断该物质是草酸钙的结晶。
至此,老陈肾功能损伤的谜底揭晓,原来老陈这种疾病是草酸盐沉积肾病。它是草酸盐结晶大量沉积在肾脏内,导致肾脏结构和功能受损的一类疾病。

医院供图
可是老陈的肾脏怎么会有这种物质沉积呢?
在反复追问下,老陈的家人回忆起他在发病前几日连续吃了几天菠菜。医生指出:“菠菜富含草酸类物质,加上患者之前每天腹泻,这才导致了急性肾损伤。”
通过补液、碱化尿液、利尿、补钙、护肾、降尿酸等一系列治疗后,老陈的肾功能迅速好转,不久就出院了。最近一次检查显示肌酐已经降到了111μmol/L。

医院供图
陆明晰表示,慢性肾脏病患者、胃肠功能较弱者、痛风患者、肾结石患者、服用特殊药物(比如抗凝剂等)的人群不适宜吃草酸含量高的食物,通过大量饮水、合理饮食、焯水处理、保证适量钙摄入可预防。
编辑: 郭静纠错:171964650@qq.com
中国宁波网手机版
微信公众号


















