
甬派客户端通讯员 钟卓君
“老爷子,咱们回家啦!”10月14日,在鄞州区第二医院(宁波市中西医结合医院)胃肠外科病区,即将出院的99岁老人章爷爷(化姓)与医务人员合影的瞬间,一边顺着大家的话笑着回应,一边用双手比出点赞的手势,满脸都是重生的喜悦。谁也想不到,不久前,他还因结肠癌伴肠梗阻,生命一度危在旦夕。
百岁老人的生命“警报”
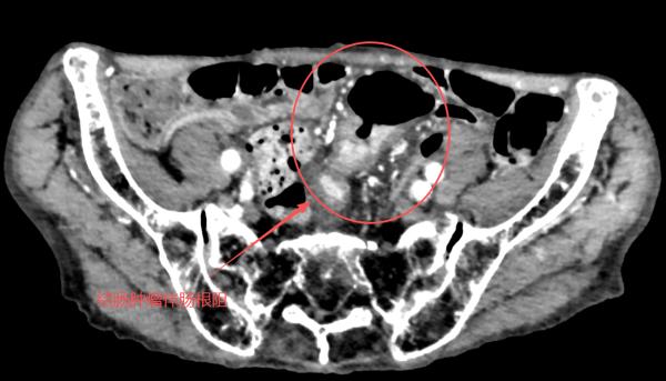
时间倒回至3个月前。章爷爷突然出现腹痛症状,排便习惯也变得异常——每天4-5次,仅能排出少量粘液状大便。谁料症状越来越重,半个月前,他更是彻底陷入了“便秘困境”,连一点大便都解不出来。家人心急如焚,迅速将他送入鄞州区第二医院(宁波市中西医结合医院)消化内科。肠镜检查的结果如同一记重锤:乙状结肠癌伴完全性肠梗阻,肿瘤如一块巨石,堵死了整个肠腔,内镜根本无法通过。
“老爷子都一百岁了,还能扛得住手术吗?”面对诊断结果,家属的担忧如潮水般涌来。在他们眼中,“百岁”“癌症”“手术”这三个词组合在一起,几乎等同于“不可能”。甚至有人提议:“要不放弃吧,别让老人最后遭罪……”
然而,章爷爷的态度却出乎所有人的意料。“如果能动手术,那就把它干掉!”他的语气中带着一丝倔强。原来,这位历经沧桑的老人,此前已多次与死神擦肩而过——前列腺手术、全胃切除术、左髋关节置换术、脑梗治疗……每一次,他都在医护人员的帮助下“逢凶化吉”。这一次,他依然选择相信医学,相信希望。

多学科联手“闯关”
面对如此复杂的病例,医院迅速启动了多学科诊疗团队(MDT),集结胃肠外科、消化内科、麻醉科、心血管内科、呼吸内科、重症医学科、营养科及康复科等专家,为章爷爷量身定制“生命方案”。
专家团首先对章爷爷的身体状况进行了“地毯式”评估,不放过任何一个可能影响手术的细节。心脏能否承受手术压力?肺功能是否足够支撑术后恢复?肝肾功能是否达标?营养状况能否支撑伤口愈合?甚至连他的日常活动能力都被纳入考量。评估结果显示,尽管老人年过期颐,但主要脏器功能代偿能力仍在可控范围内。这为手术提供了一丝宝贵的“希望之光”。
在全面评估的基础上,团队经过反复论证认为,尽管风险极高,但手术是老人获得长期生存的唯一机会。为此,他们制定了“双保险”方案,为手术成功上了两把“安全锁”。
麻醉科团队为章爷爷量身定制了对生理干扰较小的麻醉方案,术中实时监测,全程精准调控,确保老人在手术过程中生命体征平稳;胃肠外科王志炎副主任医师团队凭借丰富经验,快速定位病灶,短短2小时便精准切除肿瘤并完成周围淋巴结清扫。术后,又引入加速康复外科(ERAS)理念,从多个方面为章爷爷的康复保驾护航。
做完手术第2天,章爷爷便在家人的搀扶下下床行走,有效预防了血栓和肺部感染。同时,通过个体化镇痛及营养支持,老人的身体一天天好转起来。
“年龄不应成为追求高质量生命的绝对壁垒,整体评估才是决定手术可行性的关键。”鄞州区第二医院(宁波市中西医结合医院)胃肠外科主任滕晓平表示,通过全面的老年综合评估,可以科学筛选出能够从手术中获益的高龄患者。而面对复杂病例,单一科室往往力不从心。MDT模式汇聚各领域专家的智慧,让更多像章爷爷这样的高龄、高危患者能够安全地接受治疗,并高质量地生存。“只要还有希望,我们就要付出百分之百的努力。因为,每一个生命都值得被温柔以待,每一个奇迹都值得被用心创造。”
编辑: 陈奉凤纠错:171964650@qq.com

中国宁波网手机版

微信公众号